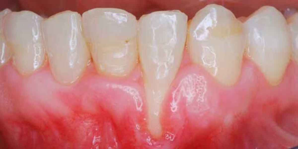
Buena higiene bucal es la mejor forma de prevenir las encías retraídas por periodontitis
La periodontitis, también conocida como enfermedad de las encías retraídas, es una enfermedad común pero prevenible causada por una infección bacteriana. Esta infección daña el tejido blando de las encías y, si no se trata con prontitud, puede provocar la caída de los dientes.
Practicar una buena higiene bucal es la mejor forma de prevenir la periodontitis, aunque existen varios factores de riesgo, como el tabaquismo, la gingivitis, la obesidad, la diabetes y la deficiencia de vitamina C, entre otros, a tener en cuenta también.

Ir a la guía central
Hoy en día, los dentistas tratan la periodontitis eliminando primero la placa dental y el sarro y luego recetando enjuagues bucales medicinales o antibióticos orales. Sin embargo, se sabe que los antibióticos de uso común para las enfermedades periodontales causan numerosos efectos secundarios, que incluyen erupciones, diarrea, intolerancia gastrointestinal, náuseas y un sabor metálico desagradable. Debido a estas preocupaciones, muchas personas están comenzando a alejarse de estos medicamentos.
La buena noticia es que existen muchos antibióticos naturales que pueden ayudar con las infecciones bacterianas. En un estudio reciente, investigadores de la India informaron sobre la eficacia de la linaza (Linum usitatissimum) para prevenir el crecimiento de patógenos periodontales comunes in vitro. Ampliamente cultivada como alimento y fuente de fibra, la linaza ha sido etiquetada como un superalimento debido a su abundancia de nutrientes esenciales y sus excepcionales beneficios para la salud.
Los investigadores discutieron las propiedades antimicrobianas de la linaza en un artículo publicado en el International Journal of Herbal Medicine.

Más que una simple fuente de nutrientes: la linaza también es un potente antimicrobiano
Según la investigación, el uso de antibióticos es beneficioso en el tratamiento de la periodontitis. Sin embargo, la resistencia a los antibióticos se ha convertido ahora en un problema mundial importante y se cree que se debe al mal uso de los antibióticos. Muchos investigadores ahora ven las intervenciones a base de hierbas como estrategias terapéuticas que merecen más investigación y atención.
La linaza, un superalimento popular rico en ácidos grasos omega-3, ha demostrado una potente actividad antimicrobiana y anti-biopelícula en múltiples estudios. Para explorar más estas útiles propiedades, los investigadores llevaron a cabo un estudio in vitro para evaluar la actividad antimicrobiana de la linaza contra los patógenos periodontales.
Prepararon un extracto etanólico de polvo de linaza y determinaron su concentración mínima inhibitoria (CMI) y concentración bactericida mínima (MBC) contra tres patógenos orales, a saber, Porphyromonas gingivalis, Aggregatibacter actinomycetemcomitans y Tannerella forsythia.
P. gingivalis es una bacteria invasiva y evasiva que se ha descrito como una especie de biopelícula «clave». Está muy involucrado en la patogenia de la periodontitis. A. actinomycetemcomitans es un patógeno oportunista asociado con formas agresivas de periodontitis. Al igual que P. gingivalis, esta bacteria está bien equipada para escapar de la respuesta inmune del huésped.
T. forsythia, mientras tanto, ha estado fuertemente implicada en la aparición de periodontitis. Según los estudios, las personas con sobrepeso u obesidad tienen un crecimiento excesivo de esta bacteria en particular. Por lo tanto, se asocia más comúnmente con enfermedades periodontales en pacientes con sobrepeso que en personas con peso normal.
Los investigadores informaron que el extracto de linaza exhibió actividad bacteriostática (inhibe el crecimiento) contra los tres patógenos. A 100 microlitros ( u L) / mililitro (mL), el extracto ejerció efectos bactericidas contra P. gingivalis , lo que significa que fue capaz de matar la bacteria.
Con base en estos hallazgos, los investigadores concluyeron que la linaza se puede utilizar como un complemento natural de la terapia periodontal debido a sus efectos bactericidas contra P. gingivalis.

Otros beneficios para la salud de la linaza
La linaza se refiere a las pequeñas semillas comestibles de la planta de lino. Es rico en nutrientes esenciales, además de grasas saludables, fibra y antioxidantes. Una cucharada de este increíble superalimento puede proporcionarle 1,3 gramos de proteína, 1,9 gramos de fibra, 1,597 mg de omega-3 saludables para el corazón y una variedad de vitaminas y minerales, como las vitaminas B1, B6 y B9 y calcio, magnesio, hierro, fósforo y potasio. Debido a su impresionante perfil de nutrientes, la linaza ofrece una variedad de beneficios para la salud, tales como:
La linaza es un alimento e ingrediente versátil, por lo que no le resultará difícil incorporar este superalimento en su dieta diaria. Para disfrutar de una mejor salud cardíaca, metabólica, digestiva y bucal, mejore su dieta con semillas de lino nutritivas y aceite de linaza.
La periodontitis, también conocida como enfermedad de las encías retraídas, es una enfermedad común pero prevenible causada por una infección bacteriana. Esta infección daña el tejido blando de las encías y, si no se trata con prontitud, puede provocar la caída de los dientes. Practicar una buena higiene bucal es la mejor forma de prevenir la periodontitis, aunque existen varios factores de riesgo, como el tabaquismo, la gingivitis, la obesidad, la diabetes y la deficiencia de vitamina C, entre otros, a tener en cuenta también.
Hoy en día, los dentistas tratan la periodontitis eliminando primero la placa dental y el sarro y luego recetando enjuagues bucales medicinales o antibióticos orales. Sin embargo, se sabe que los antibióticos de uso común para las enfermedades periodontales causan numerosos efectos secundarios, que incluyen erupciones, diarrea, intolerancia gastrointestinal, náuseas y un sabor metálico desagradable. Debido a estas preocupaciones, muchas personas están comenzando a alejarse de estos medicamentos.
La buena noticia es que existen muchos antibióticos naturales que pueden ayudar con las infecciones bacterianas. En un estudio reciente, investigadores de la India informaron sobre la eficacia de la linaza (Linum usitatissimum) para prevenir el crecimiento de patógenos periodontales comunes in vitro. Ampliamente cultivada como alimento y fuente de fibra, la linaza ha sido etiquetada como un superalimento debido a su abundancia de nutrientes esenciales y sus excepcionales beneficios para la salud.

Más que una simple fuente de nutrientes: la linaza también es un potente antimicrobiano
Según la investigación, el uso de antibióticos es beneficioso en el tratamiento de la periodontitis. Sin embargo, la resistencia a los antibióticos se ha convertido ahora en un problema mundial importante y se cree que se debe al mal uso de los antibióticos. Muchos investigadores ahora ven las intervenciones a base de hierbas como estrategias terapéuticas que merecen más investigación y atención.
La linaza, un superalimento popular rico en ácidos grasos omega-3, ha demostrado una potente actividad antimicrobiana y anti-biopelícula en múltiples estudios. Para explorar más estas útiles propiedades, los investigadores llevaron a cabo un estudio in vitro para evaluar la actividad antimicrobiana de la linaza contra los patógenos periodontales.
Prepararon un extracto etanólico de polvo de linaza y determinaron su concentración mínima inhibitoria (CMI) y concentración bactericida mínima (MBC) contra tres patógenos orales, a saber, Porphyromonas gingivalis, Aggregatibacter actinomycetemcomitans y Tannerella forsythia.
P. gingivalis es una bacteria invasiva y evasiva que se ha descrito como una especie de biopelícula «clave». Está muy involucrado en la patogenia de la periodontitis. A. actinomycetemcomitans es un patógeno oportunista asociado con formas agresivas de periodontitis. Al igual que P. gingivalis, esta bacteria está bien equipada para escapar de la respuesta inmune del huésped.
T. forsythia, mientras tanto, ha estado fuertemente implicada en la aparición de periodontitis. Según los estudios, las personas con sobrepeso u obesidad tienen un crecimiento excesivo de esta bacteria en particular. Por lo tanto, se asocia más comúnmente con enfermedades periodontales en pacientes con sobrepeso que en personas con peso normal.
Los investigadores informaron que el extracto de linaza exhibió actividad bacteriostática (inhibe el crecimiento) contra los tres patógenos. A 100 microlitros ( u L) / mililitro (mL), el extracto ejerció efectos bactericidas contra P. gingivalis, lo que significa que fue capaz de matar la bacteria.
Con base en estos hallazgos, los investigadores concluyeron que la linaza se puede utilizar como un complemento natural de la terapia periodontal debido a sus efectos bactericidas contra P. gingivalis.

Otros beneficios para la salud de la linaza
La linaza se refiere a las pequeñas semillas comestibles de la planta de lino. Es rico en nutrientes esenciales, además de grasas saludables, fibra y antioxidantes. Una cucharada de este increíble superalimento puede proporcionarle 1,3 gramos de proteína, 1,9 gramos de fibra, 1,597 mg de omega-3 saludables para el corazón y una variedad de vitaminas y minerales, como las vitaminas B1, B6 y B9 y calcio, magnesio, hierro, fósforo y potasio. Debido a su impresionante perfil de nutrientes, la linaza ofrece una variedad de beneficios para la salud, tales como:
La linaza es un alimento e ingrediente versátil, por lo que no le resultará difícil incorporar este superalimento en su dieta diaria. Para disfrutar de una mejor salud cardíaca, metabólica, digestiva y bucal, mejore su dieta con semillas de lino nutritivas y aceite de linaza.
Etiquetas
fotos de encías retraídas, como sanar encías retraídas, pasta dental para encías retraídas, remedios caseros para encías retraídas, ácido hialurónico para encías retraídas, fortalecer encías retraídas, empaste para encías retraídas, cirugía de encías retraídas precio, té verde para encías retraídas, regenerar encías retraídas, encías retraídas antes y después, aceite de coco para encías retraídas, aloe vera para encías retraídas, agua oxigenada para encías retraídas, aceite de árbol de té para encías retraídas, cirugía de encías retraídas precio argentina.
Orbes Argentina es un medio independiente especializado en emergencias, clima extremo y ciencia aplicada, con cobertura global y enfoque en riesgos del siglo XXI.
Clúster detectado: Salud




























